Պատահարներ
էլեկտրոնային ծխախոտը պայթել է՝ վնասելով դեռահասի ծնոտը
WRed
1,530 դիտում
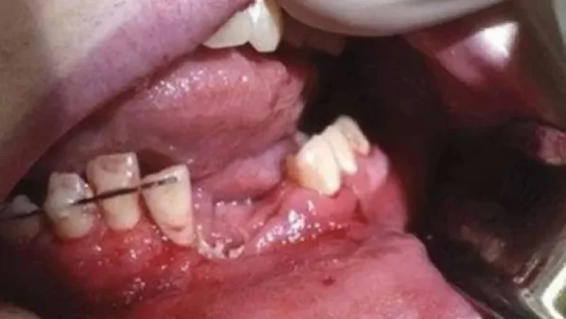
«Երբ էլեկտրոնային, այսպես կոչված, նորարարական ու տաքացվող ծխախոտը պայթում է ձեռքիդ մեջ և դու ունենում ես կոտրված ծնոտ կամ խեղված ձեռք։
Այս դեպքը տեղի է ունեցել 17-ամյա դեռահասի հետ»,- այս մասին ֆեյսբուքյան իր էջում գրել է ՀՀ առողջապահության նախարար Արսեն Թորոսյանը։
Նմանատիպ հոդվածներ
Սահմռկեցուցիչ դեպք Լոռու մարզում. քիչ առաջ 30-ամյա մայրը խեղդամահ է արել 7-ամյա աղջնակին
WRed
1 րոպե
2,298
Ողբերգական դեպք. աշխատանքներ կատարելիս՝ հողն ու քարերը լցվել են 17-ամյա տղայի վրա
WRed
1,116
6 զոհ և 11 վիրավոր. ԱԻՆ-ը հրապարակել է զոհերի և վիրավորների անունները
WRed
24,553
Դպրոցի բակում կնոջ պարանոցից պոկել են շղթան եւ փախել
WRed
1 րոպե
727
Ավելին Պատահարներ բաժնից
Մահվան ելքով վրաերթ Վաղարշյան փողոցում
1 րոպե
1,207
Լուրերը մեկ տողով. Փաշինյանի հայտարարությունից հետո ՆԳՆ արձագանքը, Հորմուզի նեղուցում նոր կանոններ
1 րոպե
400
Սարգսյանը՝ 1 ամյա փոքրիկի դեպքի մասին
1 րոպե
522
Մայրը հարվածներ է հասցրել 3-ամյա երեխային, մահճակալից գցել հատակին և քարշ տվել․ ՔԿ-ն արձագանքել է
1 րոպե
899